Briga o zdravlju desni zuba
zubart
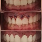
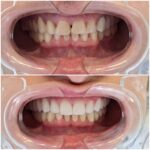
Osmijeh koji govori sve.
Vaša ljepota počinje zdravim zubima.
Više od 10 godina sa vama!
zubart
Zub Art – umjetnost savršenog osmjeha.
Stručno. Bezbolno. Sa stilom.
Više od 10 godina sa vama!
Pročitajte nešto o nama
Stomatološka ordinacija ZUB ART osnovana je 2011 godine sa idejom da bude inovativna i da sprovodi tehnički i tehnološki najveća trenutna dostignuća na polju stomatologije. Cilj nam je kvalitetna i predana usluga na radost i zadovoljstvo naših pacijenata. Ordinacija u saradnji sa ''MT LAB BIH'' od 2020. godine primjenjuje kompletan digitalni protokol i izradu protetskih radova sa čime se ponosimo.
Prednosti digitalne stomatologije su višestruki
- efikasnost
- preciznost
- pouzdanost
- mogućnost ponavljanja prototipa do potpune estetske prihvatljivosti rada
FUNDAMENTI
ANALIZA PLANIRANJE
POSVEĆENOST PRECIZNOST
Ordinacija je takođe opremljena kompletnom RTG dijagnostikom
- mali RTG
- 2D (ORTOPAN)
- 3D (CBCT)
Naš tim
Upoznajte naš tim
Pružamo sve vrste plombi, tretmana karijesa i estetskih korekcija zuba uz savremene materijale.
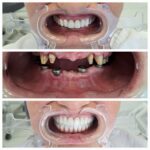
Nudimo izradu krunica, mostova, proteza i ugradnju zubnih implantata za potpunu funkcionalnost i estetiku osmijeha.
Posvećeni smo najmlađima kroz bezbolne i prilagođene stomatološke tretmane uz puno strpljenja i pažnje.
Aplikacijom hijaluronskih filera vraćamo volumen, osvežavamo lice i ističemo prirodnu ljepotu.
Komentari
Komentari
Šta naši pacijenti kažu o nama
Doktor Srđan je profesionalan, ljubazan i vrlo pažljiv. Oduvijek sam tražio stomatologa kojem mogu vjerovati, i konačno sam ga našao! Preporučujem ga svima koji žele vrhunsku uslugu!
Igor Lazić
Iako sam uvijek bio uplašen od odlaska kod zubara, tim iz Zub Art-a me je učinio da se osjećam potpuno opušteno. Preporučujem! Bezbolan tretman i sjajan rezultat!
Gordan Marić
Svaka čast Zub Art timu! Ne samo da su stručni, već imaju i fenomenalan pristup pacijentima. Moj osmijeh sada izgleda bolje nego ikada!












